ΠΡΕΠΕΙ ΝΑ ΑΦΑΙΡΟΥΝΤΑΙ ΟΙ ΦΡΟΝΙΜΗΤΕΣ?
Οι φρονιμήτες αφαιρούνται όταν προκαλούν συμπτώματα όπως πόνο, πρήξιμο, πυρετό, δυσκολία στη μάσηση, όταν λόγω της κλίσης τους καταστρέφουν τα διπλανά δόντια και για ορθοδοντικούς λόγους.
Μπορούν επίσης να αφαιρεθούν προληπτικά ώστε να μήν προκαλέσουν προβλήματα μελλοντικά, εάν αυτό μπορεί να προβλεφθεί από τον ακτινογραφικό και κλινικό έλεγχο.
Υπάρχουν περιπτώσεις που οι φρονιμήτες δεν χρειάζονται αφαίρεση, όπως όταν έχουν εμφανιστεί πλήρως στο στόμα, δεν έχουν τερηδόνα και συμμετέχουν στη μασητική λειτουργία.
ΠΕΡΙΠΤΩΣΕΙΣ ΦΡΟΝΙΜΗΤΩΝ ΠΟΥ ΧΡΗΖΟΥΝ ΑΦΑΙΡΕΣΗΣ

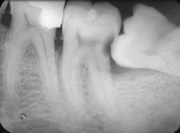
ΦΡΟΝΙΜΗΤΗΣ ΚΑΤΩ ΓΝΑΘΟΥ ΠΟΥ ΠΡΕΠΕΙ ΝΑ ΑΦΑΙΡΕΘΕΙ ΓΙΑΤΙ ΠΡΟΚΑΛΕΙ ΤΕΡΗΔΟΝΑ ΣΤΟ ΔΙΠΛΑΝΟ ΔΟΝΤΙ

ΠΑΝΟΡΑΜΙΚΗ ΑΚΤΙΝΟΓΡΑΦΙΑ ΠΟΥ ΑΠΕΙΚΟΝΙΖΕΙ ΕΓΚΛΕΙΣΤΟ ΦΡΟΝΙΜΗΤΗ ΜΕ ΤΕΡΗΔΟΝΑ ΣΤΗΝ ΚΑΤΩ ΓΝΑΘΟ.

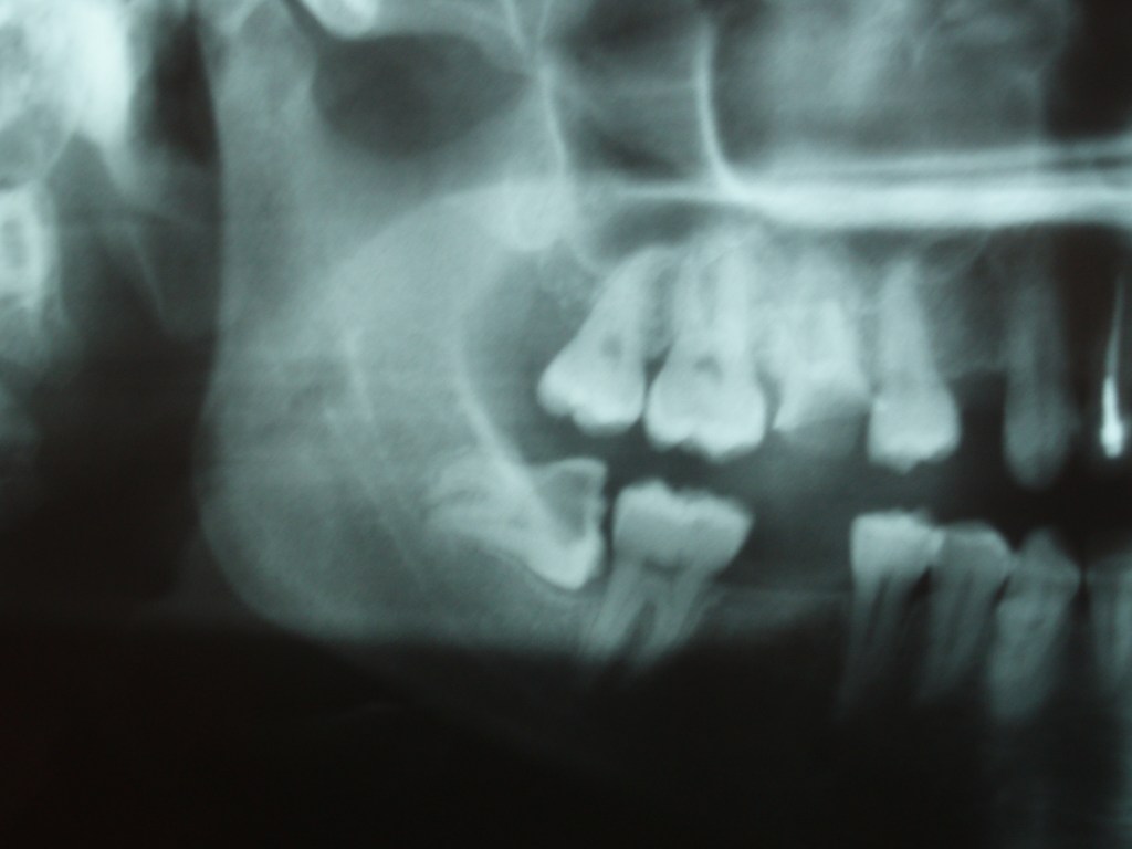
ΦΡΟΝΙΜΗΤΗΣ ΜΕ ΟΡΙΖΟΝΤΙΑ ΘΕΣΗ ΚΑΙ ΕΚΤΕΤΑΜΕΝΗ ΤΕΡΗΔΟΝΑ