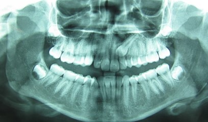
ΟΙ ΚΥΝΟΔΟΝΤΕΣ ΕΙΝΑΙ ΣΗΜΑΝΤΙΚΑ ΔΟΝΤΙΑ. ΓΙΑ ΤΟ ΛΟΓΟ ΑΥΤΟ ΕΓΚΛΕΙΣΤΟΙ ΚΥΝΟΔΟΝΤΕΣ ΣΕ ΝΕΑΡΑ ΑΤΟΜΑ ΑΠΟΚΑΛΥΠΤΟΝΤΑΙ ΧΕΙΡΟΥΡΓΙΚΑ ΚΑΙ ΜΕΤΑΚΙΝΟΥΝΤΑΙ ΜΕ ΟΡΘΟΔΟΝΤΙΚΑ ΜΕΣΑ ΣΤΗ ΣΩΣΤΗ ΘΕΣΗ ΣΤΟΝ ΟΔΟΝΤΙΚΟ ΦΡΑΓΜΟ.
Η ΔΙΑΔΙΚΑΣΙΑ ΑΥΤΗ ΓΙΝΕΤΑΙ ΜΕ ΔΥΟ ΤΡΟΠΟΥΣ.
- ΑΠΟΚΑΛΥΨΗ ΤΟΥ ΕΓΚΛΕΙΣΤΟΥ ΚΥΝΟΔΟΝΤΑ ΚΑΙ ΤΟΠΟΘΕΤΗΣΗ ΕΙΔΙΚΗΣ ΠΑΣΤΑΣ ΠΟΥ ΕΠΙΤΑΧΥΝΕΙ ΤΗΝ ΕΠΟΥΛΩΣΗ. ΜΕΤΑ 2-3 ΜΕΡΕΣ ΑΦΑΙΡΕΙΤΑΙ Η ΚΩΝΙΑ ΚΑΙ Ο ΟΡΘΟΔΟΝΤΙΚΟΣ ΤΟΠΟΘΕΤΕΙ ΤΟ BRACKET ΣΤΟ ΑΠΟΚΑΛΥΜΕΝΟ ΔΟΝΤΙ.
- ΑΠΟΚΑΛΥΨΗ ΤΟΥ ΕΓΚΛΕΙΣΤΟΥ ΚΥΝΟΔΟΝΤΑ ΚΑΙ ΑΜΕΣΗ ΤΟΠΟΘΕΤΗΣΗ ΤΟΥ BRACKET ΑΠΟ ΤΟΝ ΟΡΘΟΔΟΝΤΙΚΟ.
ΧΕΙΡΟΥΡΓΙΚΗ ΑΠΟΚΑΛΥΨΗ ΚΑΙ ΑΜΕΣΗ ΤΟΠΟΘΕΤΗΣΗ BRACKET ΣΕ ΕΓΚΛΕΙΣΤΟ ΚΥΝΟΔΟΝΤΑ ΑΝΩ ΓΝΑΘΟΥ ΣΤΗΝ ΑΡΙΣΤΕΡΗ ΠΛΕΥΡΑ ΤΗΣ ΑΣΘΕΝΟΥΣ.



